About Us
विजय
हृदयालय व नेत्रालय
विजय हृदयालय व नेत्रालय (वाशिम), हे हॉस्पिटल आधुनिक तंत्रज्ञानाने सुसज्ज असून ह्रदयरोग व नेत्ररोग विभागात उत्कृष्ट सुविधा उपलब्ध आहेत. ह्रदयरोग विभागात अँजिओग्राफी, अँजिओप्लास्टी, पेसमेकर, 2D Echo, TMT, ABPM, होल्टर मॉनिटरिंग यासारख्या सेवा उपलब्ध आहेत. नेत्ररोग विभागात मोतीबिंदू, काचबिंदू, रेटिना शस्त्रक्रिया, ग्रीन लेझर, ROP तपासणी, OCT तपासणी व Uveitis यावर उपचार केले जातात. अनुभवी डॉक्टरांची टीम आणि अत्याधुनिक ICU सुविधेमुळे रुग्णांना दर्जेदार उपचार मिळतात. रुग्णसेवा हीच आमची प्राथमिकता असून, आम्ही विश्वासार्ह व परिणामकारक आरोग्यसेवा देण्यास कटिबद्ध आहोत.
डॉ. महेश विजय बोडखे
- MBBS., M.D. (Medicine)
- D.M. (Cardiology)
- Ex. Assist professor ( JJ Host. Mumbai)
- हृदयरोग तज्ञ
डॉ. स्मितल महेश बोडखे (मेटांगे)
- MBBS., M.S. (Ophthalmology) - Gold Medalist
- Retina Surgeon (Aravind Eye Institute)
- Ex. Assist. Professor (GMC Akola)
- नेत्ररोग व रेटिना तज्ञ
उपलब्ध सुविधा :
ह्रदयरोग विभाग -
- अँजिओग्राफी
- अँजिओप्लास्टी
- ईसीजी (12 चॅनल ईसीजी)
- 2D Echo Adult & Pediatric
- कार्डीॲक स्ट्रेस टेस्ट (TMT)
- पेसमेकर (Pacemaker)
- ॲम्ब्युलेटरी बीपी मॉनिटरींग (ABPM)
- होल्टर मॉनिटरिंग (Holder Monitoring)
- झडपेच्या शस्त्रक्रिया
- आय.सी.यु.
नेत्ररोग विभाग -
- संपूर्ण नेत्र तपासणी
- मोतीबिंदु शस्त्रक्रिया
- रेटिना तपासणी (OCT)
- रेटिना लेझर (Green Laser)
- रेटिना इंजेक्शन (Intravitreal Injection)
- रेटिना शस्त्रक्रिया (Vitrectomy)
- नवजात शिशुंची रेटिना तपासणी व उपचार (ROP Screening)
- Uveitis वरील उपचार
- काचबिंदु वरील उपचार
- नासूर शस्त्रक्रिया
OPD TIMING :
- वेळ : स. 11 ते सायं. 6 पर्यंत
- रविवारी येतांना फोन करून यावे.
Products/Services
विजय हृदयालय व नेत्रालय
वाशिम जिल्ह्यातील पहिले डी.एम. कार्डीओलॉजिस्ट आता पुर्णवेळ आपल्या सेवेत.
अँजिओग्राफी व अँजिओप्लास्टी ची २४ तास सुविधा उपलब्ध असलेले जिल्ह्यातील एकमेव हॉस्पिटल.
महात्मा ज्योतीराव फुले व प्रधानमंत्री जन आरोग्य योजना तसेच कॅशलेस विमा सेवा उपलब्ध
CASHLESS FACILITY : ICICI LOMBARD CARE HEALTH
MJPJAY महात्मा ज्योतीराव फुले जनआरोग्य योजना
विजय हृदयालय व नेत्रालय येथे आता गरीब रुग्णांना महात्मा ज्योतीराव फुले जन आरोग्य योजना व तसेच प्रधानमंत्री जनआरोग्य योजना अशा योजनांचा लाभघेता येत आहे. ह्यात ठराविक आजारांच्या महागड्या शस्त्रक्रिया विनामुल्य करून घेता येत आहेत. अँजिओग्राफी व अँजिओप्लास्टी तसेच हृदयाच्या अनेक शस्त्रक्रिया आता निःशुल्क करता येत आहेत. डोळ्यांच्या मागच्या पडद्याच्या शस्त्रक्रिया तसेच मधुमेही व्यक्तींना व डोळ्याच्या मागच्या पडद्यावर सूज असलेल्यांना लागणारे डोळ्याच्या आत घेतले जाणारे इंजेक्शन आता विनामुल्य घेता येत आहेत.

विजय हृदयालय व नेत्रालय
डॉ. महेश विजय बोडखे
- MBBS., M.D. (Medicine)
- D.M. (Cardiology)
- Ex. Ass. Prof. (JJ Hospital Mumbai)
- हृदयरोग तज्ञ

विजय हृदयालय व नेत्रालय
डॉ. स्मितल महेश बोडखे (मेटांगे)
- MBBS., M.S. (Ophthalmology) - Gold medalist
- Retina Surgeon (Aravind Eye Institute)
- Ex. Assist. Professor (GMC Akola)
- नेत्ररोग व रेटिना तज्ञ

ह्रदयरोग
ह्रदयरोग म्हणजे हृदय किंवा रक्तवाहिन्यांच्या कार्यात बिघाड होणे. यामध्ये रक्तप्रवाह अडथळा, हृदयाचे स्नायू कमजोर होणे किंवा अनियमित गती येणे यांचा समावेश होतो. हे आजार जीवघेणे ठरू शकतात. त्यामुळे वेळेतच ह्रदयरोग तज्ज्ञांकडून उपचार घेणे आवश्यक होते.
हृदयरोगाची लक्षणे :
- छातीमध्ये दुखणे, छातीवर वजन ठेवल्यासारखे वाटणे, खुप घाम येणे व जीव गुदमरल्यासारखा होणे.
- चालताना दम लागणे, छातीमध्ये दुखणे.
- छातीमध्ये धडधड होणे, हृदयाच्या ठोक्यांची गती वाढणे वा कमी होणे.
- हातापायावर, चेहऱ्यावर सूज येणे.
- चालतांना किंवा अचानक डोळ्यासमोर अंधारी (चक्कर) येणे, तोल जाणे, जमीनीवर पडणे.
- ब्लड प्रेशर नेहमी मर्यादेपेक्षा जास्त असणे.
- हृदयाचे ठोके अनियमित असल्याची जाणीव होणे.
- हात, जबडा, गळा, पोटाच्या वरचा भाग, पाठीमागे दुखणे हे हृदयरोगाचे लक्षण असू शकते.
- हातापायाची बोटे, जीभ, ओठ निळे पडणे.
- दम लागल्यामुळे झोपमोड होणे किंवा सरळ झोपल्यानंतर दम लागणे.
- खुप लवकर थकवा येणे.

हृदयविकाराचा झटका येणे – Heart Attack
कोरोनरी धमनीद्वारे हृद्यास रक्त आणि ऑक्सिजनचा पुरवठा होत असतो. जेंव्हा हृदयाला पुरवठा करणाऱ्या रक्तवाहिन्यांमध्ये काही कारणांनी अडथळा निर्माण होऊन हृदयाचा रक्तपुरवठा खंडीत होतो व त्यामुळे हृदयाचे स्नायू (Heart Muscles) निकामी होतात तेंव्हा हार्ट अटॅक म्हणजेच हृद्यविकाराचा झटका येतो.
लक्षणे :
- छातीत दडपल्यासारखे वाटते,
- छातीत दुखायला लागते,
- छातीच्या मध्यभागापासून वेदनांची सुरवात होते. नंतर त्या वेदना मान, खांदा, हनुवटी, डावा हात यांपर्यंत पोहचतात.
- बैचेन व अस्वस्थ होणे, भीती वाटणे,
- अचानक जास्त प्रमाणात घाम येणे.
- अशक्तपणा जाणवणे,
- उलटी किंवा मळमळ होणे,
- चक्कर येणे,
- दम लागणे, श्वास घेण्यास त्रास होणे,
- श्वास जोरजोरात घ्यावा लागणे ही लक्षणे हार्ट अटॅकमध्ये जाणवतात.

इकोकार्डिओग्राम (2D इको)
ही तुमच्या हृदयाची सोनोग्राफी असते. यामध्ये हृदयाच्या संरचनेची आणि कार्याची थेट प्रतिमा मिळते. या चाचणीमुळे डॉक्टरांना हृदयाशी संबंधित समस्या समजून घेण्यास मदत होते, जसे की हृदयाची पंपिंग क्षमता (इजेक्शन फ्रॅक्शन), हृदयविकाराचा झटका, हृदय निकामी होणे, हृदयाच्या वाल्वचा त्रास, ब्लॉकेजेस, जन्मजात हृदयाच्या दोषांचे निदान आणी हृदयाच्या वाढीव आकाराचे परीक्षण.
2D इको टेस्ट का आवश्यक आहे?
- हृदयविकाराचा झटका शोधण्यासाठी
- हृदयाच्या वाल्वमध्ये कोणती समस्या आहे का हे पाहण्यासाठी
- वैद्यकीय किंवा शस्त्रक्रियेनंतर उपचारांची प्रभावीता तपासण्यासाठी
- हृदयाची पंपिंग क्षमता जाणून घेण्यासाठी
- हृदयाच्या कक्षांमध्ये रक्ताच्या गुठळ्या आहेत का ते शोधण्यासाठी
- हृदयाभोवतीच्या थैलीमध्ये द्रव आहे का ते तपासण्यासाठी
- अजून न जन्मलेल्या बाळामध्ये हृदयाच्या दोषांचे निदान करण्यासाठी
- हृदयाच्या झडपांवर (वाल्ववर) कोणता ट्यूमर किंवा संसर्गजन्य वाढ आहे का हे तपासण्यासाठी

होल्टर मॉनिटरींग
होल्टर मॉनिटर्स हे हृदयाच्या विविध समस्यांचे निदान आणि त्यांचे निरीक्षण करण्यासाठी अत्यंत महत्त्वाचे साधन आहे. हे अनियमित हृदयाच्या ठोक्यांमध्ये (ॲरिदमिया) झालेल्या बदलांचे निरीक्षण करण्यात, छातीत होणाऱ्या वेदनांचे मूल्यांकन करण्यामध्ये, आणि विशिष्ट हृदयाच्या औषधांचा प्रभाव तपासण्यात अत्यंत उपयोगी ठरतात. कौशल्यपूर्ण आरोग्यसेवा प्रदान करनारे तज्ञ या उपकरणाने नोंदवलेला डेटा काळजीपूर्वक विश्लेषित करून हृदयाच्या विद्युत कार्यातील अनियमितता शोधतात, ज्यामुळे हृदयाशी संबंधित समस्यांचे निदान व उपचार सुकर होतात.
होल्टर मॉनिटरिंग का वापरले जाते :
- हृदयातील अनियमितता शोधण्यासाठी.
- छातीत होणाऱ्या वेदनांचा शोध घेण्यासाठी : होल्टर मॉनिटर तुमच्या हृदयाचा जागरूक निरीक्षक म्हणून काम करतो आणि हृदयाची क्रिया नोंदवतो.
- औषधोपचारांचे मूल्यांकन करण्यासाठी.
- होल्टर मॉनिटरिंगमुळे डॉक्टरांना तुमच्या हृदयाच्या एकूण कार्याबद्दल महत्त्वपूर्ण माहिती मिळते.

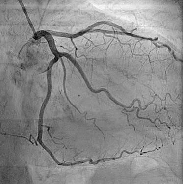
एंजिओग्राफी
एंजिओग्राफी ही एक वैद्यकीय इमेजिंग प्रक्रिया आहे ज्याद्वारे रक्तवाहिन्या आतून तपासल्या जातात. यामध्ये प्रामुख्याने धमनी आणि हृदयाच्या कक्षांची तपासणी केली जाते. या प्रक्रियेमध्ये रक्तवाहिन्यांमध्ये एक विशेष द्रव्य (कॉन्ट्रास्ट एजंट) इंजेक्ट करून, एक्स-रेच्या मदतीने चित्रण केले जाते.
एंजिओग्राफी का करतात?
- निदान: रक्तवाहिन्यांमध्ये अडथळे, अरुंद झालेल्या धमनी किंवा धमनीमध्ये मोठ्या प्रमाणात सूज (ॲन्युरिझम) आढळल्यास त्यांचे कारण समजण्यासाठी.
- डॉक्टरांना समस्येचे योग्य निदान करून सर्वोत्तम उपचार पद्धती ठरवण्यासाठी मदत करते.
- कार्डिओलॉजिस्टला रक्तवाहिन्यांमधून योग्यरित्या मार्गदर्शन करून संभाव्य धोक्यांपासून वाचवण्यासाठी मदत करते.
- तुमची स्थिती कशी प्रगती करत आहे आणि उपचार किती प्रभावी आहेत हे तपासण्यासाठी मदत होते.
- रक्तवाहिन्यांचे आजार समजून घेण्यासाठी आणि नवीन उपचारांची चाचणी घेण्यासाठी महत्त्वपूर्ण.

एम्ब्युलेटरी ब्लड प्रेशर मॉनिटरिंग
ABPM (एम्ब्युलेटरी ब्लड प्रेशर मॉनिटरिंग) ही एक निदान प्रक्रिया आहे, जी रुग्णाचा रक्तदाब विस्तारित कालावधीसाठी, सामान्यतः 24 तास किंवा त्याहून अधिक काळ मोजण्यासाठी वापरली जाते. ही चाचणी उच्च रक्तदाबाचे (हायपरटेन्शन) मूल्यांकन आणि व्यवस्थापन करण्यासाठी महत्त्वपूर्ण आहे, जो हृदयरोग आणि इतर हृदयविकारांच्या स्थितींसाठी एक प्रमुख जोखमीचा घटक आहे.
कोणाला 24 तास ABPM चाचणीची आवश्यकता असते?
- उच्च रक्तदाबाबद्दल चिंता असलेल्या व्यक्तींना
- रक्तदाबाच्या चढ-उतारांचे गूढ शोधण्यासाठी
- गर्भावस्थेदरम्यान उच्च रक्तदाब असलेल्या महिलांची देखरेख करण्यासाठी
- बॉर्डरलाइन हायपरटेन्शन तपासण्यासाठी
- औषधांनी नियंत्रणात न येणारा रक्तदाब (रिफ्रॅक्टरी हायपरटेन्शन) असलेल्या रुग्णांसाठी
- ABPM चाचणी कमी रक्तदाब (हायपोटेन्शन) किंवा अचानक बेशुद्ध होण्याच्या घटनांसाठीही उपयुक्त ठरू शकते.

एंजिओप्लास्टी
एंजिओप्लास्टीचा उपयोग कोरोनरी धमनी रोगामुळे अडथळा आलेल्या हृदयाच्या रक्तवाहिन्या उघडण्यासाठी केला जातो. यामुळे ओपन-हार्ट सर्जरी न करता हृदयाला रक्तपुरवठा पुन्हा सुरू करता येतो. एंजिओप्लास्टी प्रामुख्याने गंभीर स्थितींमध्ये, जसे की हृदयविकाराच्या झटक्यावेळी केली जाते. एंजिओप्लास्टीला पर्क्युटेनियस कोरोनरी इंटरव्हेन्शन (PCI) असेही म्हणतात.
कधी एंजिओप्लास्टीची आवश्यकता असते?
- तुमच्या हृदयाच्या रक्तवाहिन्यांमध्ये अडथळे आढळले असतील
- तुम्ही औषधे घेतली किंवा जीवनशैलीत बदल केले, पण त्याचा तुमच्या हृदयाच्या आरोग्यावर फारसा परिणाम झालेला नाही
- तुम्हाला छातीत वेदना (अॅन्जिना) होत असतील
- तुम्हाला हृदयविकाराचा झटका आला असेल. एंजिओप्लास्टीने रक्तवाहिनी त्वरीत उघडता येते, ज्यामुळे हृदयाला होणारे नुकसान कमी होते.

इलेक्ट्रोकार्डिओग्राम (ECG)
इलेक्ट्रोकार्डिओग्राम (EKG/ECG) ही एक चाचणी आहे ज्यामध्ये छाती आणि हातापायांवर तात्पुरती इलेक्ट्रोड लावून तुमच्या हृदयाच्या विद्युत क्रियेचे निरीक्षण, मोजमाप आणि नोंद केली जाते. ही क्रिया हृदयाच्या ठोक्यांवर नियंत्रण ठेवते. संगणक या माहितीचे तरंगाच्या स्वरूपात रूपांतर करतो, ज्याचे विश्लेषण तुमचे कार्डिओलॉजिस्ट करू शकतात.
ECG कधी वापरले जाते?
- तुमच्या हृदयाच्या ठोक्यांचा वेग सामान्य आहे का किंवा ॲरिदमिया (अनियमित ठोके) आहे का हे तपासण्यासाठी.
- कोरोनरी धमनी रोगामुळे हृदयाच्या स्नायूंना रक्तपुरवठा योग्यरित्या होत आहे का (इस्केमिया) हे शोधण्यासाठी.
- हृदयविकाराचा झटका झाला आहे का हे निदान करण्यासाठी.
- हृदयातील असमान्यता, जसे की हृदयाच्या कक्षांचे वाढणे किंवा विद्युत वहनातील अडथळे शोधण्यासाठी.
- हृदयाचे नुकसान किंवा हृदय निकामी होणे.

पेसमेकर
पेसमेकर हे एक उपकरण आहे, जे हृदयाच्या स्नायूंना लहान विद्युत प्रवाह पाठवून योग्य हृदयगती ठेवते किंवा हृदयाच्या खालच्या कक्षांना (व्हेंट्रिकल्स) उत्तेजित करते.
पेसमेकरची गरज का आहे?
- ब्रॅडी-ॲरिदमिया: हृदयाच्या विद्युत प्रणालीतील त्रुटींमुळे होणारा मंद हृदयगतीचा त्रास
- सिंकोप: बेशुद्ध होण्याचे प्रसंग
- हायपरट्रॉफिक कार्डिओमायोपॅथी: हृदयाच्या स्नायूंना प्रभावित करणारा एक गुंतागुंतीचा हृदयविकार
- टॅकी-ब्रॅडी सिंड्रोम: वेगवान आणि मंद हृदयगतीचे बदलते ठोके
- हार्ट ब्लॉक: असामान्य हृदय ठोके
- हृदय निकामी होणे (हार्ट फेल्युअर)
- कोरोनरी धमनी रोग
- हृदयविकाराचा झटका आल्याचा पूर्व इतिहास असते.

संगणकीकृत डोळ्यांची तपासणी
ऑप्टोमेट्री नेत्र तपासणी म्हणजे नेत्ररोगतज्ज्ञाद्वारे दृष्टीची सखोल तपासणी करणे, ज्यामध्ये दृष्टीदोष, चष्म्याची गरज, तसेच डोळ्यांच्या आरोग्याशी संबंधित विकारांचा शोध घेतला जातो. यामध्ये दृष्टीक्षेप, दाब तपासणी, वाचण्याची क्षमता, आणि रंगदृष्टी परीक्षण यांचा समावेश होतो.

काचबिंदू (Glaucoma) आजार
भारतात 120 लक्ष पेक्षा अधिक लोकांना काचबिंदु आहे आणि सुमारे तेवढयाच किंवा त्याहून जास्त लोकांना स्वतःला काचबिंदु (ग्लॉकोमा) असल्याचे भान देखील नाही
काचबिंदु (ग्लॉकोमा) मध्ये डोळयाच्या आत दाब वाढून डोळयातील दृष्टि तंत्रिकांना नुकसान पोहचते
दृष्टि उत्तरोत्तर अंधुक होत जाते आणि उपचार न मिळाल्यास काचबिंदु मुळे अंधत्त्व येऊ शकते
बऱ्याच वेळा काचबिंदु सामान्य तपासणीमध्ये उघडकीस येतो. त्यामुळे 40 वर्ष वयाच्या पुढे वार्षिक तपासणी नियमित करून घेणे योग्य असते
काचबिंदुच्या अवस्थेचे निदान सुरूवातीलाच होऊन त्वरित उपचार झाल्यास अंधत्त्व टाळले जाऊ शकते.
लक्षणे :
- बाजूचे दिसणे कमी होत जाणे
- अंधुक दृष्टि
- डोळयात वेदना आणि डोकेदुखी
- प्रकाशाभोवती रंगीत वर्तुळे दिसणे
- वाचण्याच्या चष्म्याचा नंबर सारखा बदलणे

मोतीबिंदू (Cataract) आजार
मोतीबिंदू (Cataract) हा डोळ्याचा एक प्रमुख विकार आहे. मोतीबिंदूमध्ये डोळ्यातील काचेसारखे पारदर्शक असणारे भिंग हे अपारदर्शक, मोत्यासारखे पांढरट रंगाचे होते. अपारदर्शक झालेल्या या भिंगामुळे प्रकाशकिरण डोळ्याच्या आतील दृष्टीपटलापर्यंत पोहचू शकत नाहीत त्यामुळे दृष्टी मंदावते, अंधुक-अस्पष्ट दिसायला लागते. मोतीबिंदू हा एक किंवा दोन्हीही डोळ्यात असू शकतो. आज अकाली अंधत्व येण्यासाठी मोतीबिंदू हे एक प्रमुख कारण ठरत आहे
लक्षणे:
- मोतीबिंदूमध्ये नेहमीची तक्रार म्हणजे अंधुक दिसणे. सर्व काही अस्पष्ठ दिसते.
- रात्रीच्या वेळी स्पष्ट न दिसणे, रात्रीच्या वेळी प्रकाशाभोवती वर्तुळे दिसतात.
- प्रकाशामुळे डोळे दुखतात व प्रकाश सहन होत नाही.
- वस्तूच्या दोन-दोन प्रतिमा दिसणे (Double Vision).
- चष्म्याचा नंबर सारखा सारखा बदलत असतो.

डायबेटिक रेटिनोपॅथी
डायबेटिक रेटिनोपॅथी (Diabetic Retinopathy) हा डोळ्याचा एक गंभीर विकार आहे, जो मधुमेहामुळे (डायबेटिस) होतो. या विकारात डोळ्याच्या मागील बाजूस असणाऱ्या दृष्टीपटलाच्या रक्तवाहिन्या (retinal blood vessels) प्रभावित होतात. या रक्तवाहिन्यांमध्ये गळती होऊ शकते, किंवा त्या अवरोधित होऊ शकतात, ज्यामुळे दृष्टीवर परिणाम होतो.
डायबेटिक रेटिनोपॅथीमुळे दृष्टी मंदावते, अंधुक किंवा अस्पष्ट दिसायला लागते, आणि गंभीर अवस्थेत अंधत्वही येऊ शकते. या विकारामुळे डोळ्याच्या पाठीमागील दृष्टीपटलावर (retina) नवीन, अस्थिर रक्तवाहिन्या निर्माण होऊ शकतात, ज्यामुळे रक्तस्त्राव होण्याचा धोका असतो.
डायबेटिक रेटिनोपॅथी हे दोन्ही डोळ्यांना प्रभावित करू शकते आणि मधुमेहाचा कालावधी व रक्तातील साखरेची पातळी जास्त असल्यानं याचा धोका वाढतो. वेळेवर निदान आणि उपचार घेतल्यास या विकाराचा प्रभाव कमी करता येतो.
लक्षणे :
- अंधुक किंवा अस्पष्ट दृष्टी
- दृष्टीशक्तीत कमी होणे
- डोळ्यांसमोर काळे किंवा तरंगणारे डाग
- रंग ओळखण्यात समस्या
- डोळ्यांत ताण आणि वेदना जानवणे

फॅको सर्जरी
फॅको सर्जरी ही मोतीबिंदूच्या उपचारासाठी सर्वात सामान्य आणि आधुनिक शस्त्रक्रिया आहे.
शस्त्रक्रियेची प्रक्रिया : फॅको सर्जरीमध्ये, डॉक्टर डोळ्याच्या कॉर्नियाच्या बाजूला एक छोटे छिद्र (2-3 मिमी) करतात. यानंतर, अल्ट्रासाउंड तंत्रज्ञानाचा वापर करून, मोतीबिंदू असलेल्या भिंगाला तुकडे करून, ते अल्ट्रासाउंड मशीनद्वारे काढले जाते. नंतर, त्याच ठिकाणी एक कृत्रिम भिंग (Intraocular Lens - IOL) स्थापित केले जाते.

विट्रीओ रेटिनल उपचार
विट्रीओ रेटिनल उपचार हा डोळ्याच्या विट्रीयस (विट्रियस ह्युमर) आणि रेटिना यांच्याशी संबंधित विकारांवर केले जाणारे उपचार आहेत. रेटिना ही डोळ्याच्या आतील भागातील एक पातळ तंतुमय पट्टी आहे, जी दृश्याचे प्रोसेसिंग करून मेंदूपर्यंत पोहोचवते. विट्रीयस हा जेलसारखा पदार्थ आहे जो रेटिनाला समर्थन देतो. विट्रीओ रेटिनल विकारांमध्ये रेटिना तुटणे, विट्रीयस रक्तस्राव, रेटिनल डिटॅचमेंट, डायबेटिक रेटिनोपॅथी, मॅक्युलर होल्स, आणि मॅक्युलर डीजेनरेशन यांचा समावेश होतो.
उपचार प्रक्रिया : विट्रीओ रेटिनल विकारांच्या उपचारासाठी विविध तंत्रांचा वापर केला जातो, त्यापैकी काही प्रमुख उपचार खालीलप्रमाणे आहेत:
- विट्रेक्टॉमी (Vitrectomy)
- रेटिनल लेझर उपचार
- एंटी-VEGF इंजेक्शन्स
- रेटिनल रूटीन शस्त्रक्रिया

Gallery






















