About Us
रिदम
हार्ट केअर क्लिनिक
"निरोगी हृदय, आनंदी आयुष्य"
रिदम हार्ट केअर क्लिनिक, नांदेड – आपल्या हृदयाच्या आरोग्याचे विश्वसनीय ठिकाण.
आम्ही करुणा, विश्वास आणि अत्याधुनिक तंत्रज्ञानाच्या आधारावर प्रगत हृदयविकार उपचार देण्यास समर्पित आहोत.
आमच्या क्लिनिकमध्ये हृदयविकारांशी संबंधित सर्व प्रकारच्या सेवा उपलब्ध आहेत – कार्डियाक सल्लामसलत, ईसीजी, 2D इको, कलर डॉप्लर स्टडी, टीएमटी, होल्टर मॉनिटरिंग (२४ तास ईसीजी) आणि एबीपीएम (२४ तास बीपी मॉनिटरिंग).
आधुनिक निदान साधनांचा वापर करून आमचे अनुभवी डॉक्टर प्रत्येक रुग्णाचे अचूक निदान, लवकर शोध आणि प्रभावी उपचार सुनिश्चित करतात. आम्ही फक्त उपचारच करत नाही, तर रुग्णांच्या संपूर्ण हृदय आरोग्यासाठी जागरूकता, प्रतिबंध आणि जीवनशैली मार्गदर्शनावर देखील लक्ष केंद्रित करतो.
रिदम हार्ट केअर क्लिनिकमध्ये आपले स्वागत आहे – जिथे आपल्या हृदयाचा ठोका आमच्यासाठी सर्वात महत्त्वाचा आहे.
उपलब्ध सुविधा :-
- उच्च रक्तदाब
- ई.सी.जी. व 2डी ईको (ECG & 2D Echo)
- ट्रेडमिल टेस्ट (TMT)
- अंब्युलेटरी बीपी मॉनिटरिंग (ABPM)
- होल्टर (24 Hour Holter Monitoring)
- संपूर्ण हृदय तपासणी
- (Complete Heart Check-up)
- अँजिओग्राफी (Angiography)
- अँजिओप्लास्टी (Angioplasty)
- पेसमेकर शस्त्रक्रिया (Pacemaker Implantation)
- Graft angiography
- Peripheral Angiography
- Complex coronary interventions (Left main stem, bifurcation and graft angioplasty)
Products/Services
RHYTHM HEART CARE CLINIC
डॉ. सुनिल लक्ष्मण कांबळे
- MBBS. (शासकीय वैद्यकिय महाविद्यालय, लातूर.)
- MD. General Medicine (शासकीय वैद्यकिय महाविद्यालय आणि रुग्णालय (घाटी हॉस्पिटल), छ. संभाजीनगर
- DNB. (Cardiology) (दीनानाथ मंगेशकर हॉस्पिटल अँड रिसर्च सेंटर, पुणे.)
अनुभव:
- डॉ. शंकरराव चव्हाण शासकीय वैद्यकिय महाविद्यालय, नांदेड मध्ये १ वर्षाचा अनुभव
- TX हॉस्पिटल हैद्राबाद येथे २ वर्षाचा अनुभव
- Rhythm Heart Care Clinic

हृदयरोग
हृदयरोग म्हणजे काय?
हृदयरोग म्हणजे हृदय आणि रक्तवाहिन्यांना होणारे आजार. यात हृदयविकाराचा झटका, छातीत दुखणे (अँजायना), हृदय कमकुवत होणे, रक्तदाब वाढणे, हृदयाच्या झडपांचे विकार, जन्मापासूनचे हृदयाचे दोष, अनियमित ठोके (अतालता) आणि कोलेस्टेरॉल वाढल्यामुळे होणारे आजार येतात.
उपचार का गरजेचे आहेत?
हृदयरोग वेळेत ओळखले नाहीत तर अचानक हृदयविकाराचा झटका येऊ शकतो किंवा हृदय कायमचे निकामी होऊ शकते. योग्य तपासणी, औषधे आणि जीवनशैलीत बदल (व्यायाम, योग्य आहार, धूम्रपान टाळणे) केल्यास हृदय सुरक्षित राहते व आयुष्य निरोगी होते.

रक्तदाब
रक्तदाब म्हणजे काय?
रक्तदाब (Hypertension) म्हणजे रक्तवाहिन्यांमधून रक्त प्रवाहित होताना होणारा दाब. हा दाब सतत जास्त राहणे म्हणजे उच्च रक्तदाब. सुरुवातीला लक्षणे नसतात म्हणून याला "सायलेंट किलर" म्हटले जाते.
उच्च रक्तदाबामुळे होणारे आजार -
हृदयरोग (हृदयविकाराचा झटका, हृदयविकाराचा त्रास), स्ट्रोक, मेंदूतील रक्तस्राव, मूत्रपिंड निकामी होणे, डोळ्यांचे आजार (रेटिनोपॅथी, दृष्टी कमी होणे), अॅन्युरिझम, रक्तवाहिन्यांचे आजार अशा अनेक गंभीर समस्या उद्भवू शकतात.
उपचार का गरजेचे आहेत?
रक्तदाब नियंत्रित न ठेवल्यास अचानक हृदयविकाराचा झटका किंवा मेंदूतील झटका येऊन जीवघेणा प्रसंग येऊ शकतो. म्हणूनच नियमित तपासणी, औषधे, मीठ कमी करणे, वजन नियंत्रण, व्यायाम आणि संतुलित आहाराने रक्तदाब नियंत्रित ठेवणे अत्यंत आवश्यक आहे.

इकोकार्डिओग्राम (2D इको)
ही तुमच्या हृदयाची सोनोग्राफी असते. यामध्ये हृदयाच्या संरचनेची आणि कार्याची थेट प्रतिमा मिळते. या चाचणीमुळे डॉक्टरांना हृदयाशी संबंधित समस्या समजून घेण्यास मदत होते, जसे की हृदयाची पंपिंग क्षमता (इजेक्शन फ्रॅक्शन), हृदयविकाराचा झटका, हृदय निकामी होणे, हृदयाच्या वाल्वचा त्रास, ब्लॉकेजेस, जन्मजात हृदयाच्या दोषांचे निदान आणी हृदयाच्या वाढीव आकाराचे परीक्षण.
2D इको टेस्ट का आवश्यक आहे?
- हृदयविकाराचा झटका शोधण्यासाठी
- हृदयाच्या वाल्वमध्ये कोणती समस्या आहे का हे पाहण्यासाठी
- वैद्यकीय किंवा शस्त्रक्रियेनंतर उपचारांची प्रभावीता तपासण्यासाठी
- हृदयाची पंपिंग क्षमता जाणून घेण्यासाठी
- हृदयाच्या कक्षांमध्ये रक्ताच्या गुठळ्या आहेत का ते शोधण्यासाठी
- हृदयाभोवतीच्या थैलीमध्ये द्रव आहे का ते तपासण्यासाठी
- अजून न जन्मलेल्या बाळामध्ये हृदयाच्या दोषांचे निदान करण्यासाठी
- हृदयाच्या झडपांवर (वाल्ववर) कोणता ट्यूमर किंवा संसर्गजन्य वाढ आहे का हे तपासण्यासाठी

इलेक्ट्रोकार्डिओग्राम (ECG)
इलेक्ट्रोकार्डिओग्राम (EKG/ECG) ही एक चाचणी आहे ज्यामध्ये छाती आणि हातापायांवर तात्पुरती इलेक्ट्रोड लावून तुमच्या हृदयाच्या विद्युत क्रियेचे निरीक्षण, मोजमाप आणि नोंद केली जाते. ही क्रिया हृदयाच्या ठोक्यांवर नियंत्रण ठेवते. संगणक या माहितीचे तरंगाच्या स्वरूपात रूपांतर करतो, ज्याचे विश्लेषण तुमचे कार्डिओलॉजिस्ट करू शकतात.
ECG कधी वापरले जाते?
- तुमच्या हृदयाच्या ठोक्यांचा वेग सामान्य आहे का किंवा ॲरिदमिया (अनियमित ठोके) आहे का हे तपासण्यासाठी.
- कोरोनरी धमनी रोगामुळे हृदयाच्या स्नायूंना रक्तपुरवठा योग्यरित्या होत आहे का (इस्केमिया) हे शोधण्यासाठी.
- हृदयविकाराचा झटका झाला आहे का हे निदान करण्यासाठी.
- हृदयातील असमान्यता, जसे की हृदयाच्या कक्षांचे वाढणे किंवा विद्युत वहनातील अडथळे शोधण्यासाठी.
- हृदयाचे नुकसान किंवा हृदय निकामी होणे.

ट्रेडमिल टेस्ट (TMT)
ट्रेडमिल एक्सरसाइज स्ट्रेस टेस्ट, ज्याला ट्रेडमिल टेस्ट (TMT) किंवा एक्सरसाइज स्ट्रेस टेस्ट असेही म्हटले जाते, हा तपास हृदय शारीरिक श्रम करताना कसे कार्य करते हे पाहण्यासाठी केला जातो. व्यायामामुळे हृदयाला जास्त मेहनत घ्यावी लागते व अधिक रक्त पंप करावे लागते. यामुळे डॉक्टरांना हृदयाच्या रक्तप्रवाहात काही अडथळे (हृदयाच्या धमन्यांमध्ये ब्लॉकेज) आहेत का हे तपासता येते.
तपासणीदरम्यान हृदयाची विद्युत क्रिया (इलेक्ट्रोकार्डियोग्रॅम – EKG) द्वारे मोजली जाते. यामुळे हृदय व्यायामास कसे प्रतिसाद देते आणि त्यात काही अनियमित बदल होतात का हे डॉक्टर पाहू शकतात.
हा तपास का केला जातो?
- कोरोनरी आर्टरी डिसीज (हृदयाच्या धमन्यांमध्ये अरुंदपणा किंवा ब्लॉकेज) शोधण्यासाठी
- हृदयाच्या ठोक्यांमधील अनियमितता ओळखण्यासाठी
- हृदयविकाराच्या उपचारासाठी योग्य दिशा ठरवण्यासाठी
- शस्त्रक्रियेपूर्वी हृदयाची कार्यक्षमता तपासण्यासाठी
.jpeg)
एम्ब्युलेटरी ब्लड प्रेशर मॉनिटरिंग
ABPM (एम्ब्युलेटरी ब्लड प्रेशर मॉनिटरिंग) ही एक निदान प्रक्रिया आहे, जी रुग्णाचा रक्तदाब विस्तारित कालावधीसाठी, सामान्यतः 24 तास किंवा त्याहून अधिक काळ मोजण्यासाठी वापरली जाते. ही चाचणी उच्च रक्तदाबाचे (हायपरटेन्शन) मूल्यांकन आणि व्यवस्थापन करण्यासाठी महत्त्वपूर्ण आहे, जो हृदयरोग आणि इतर हृदयविकारांच्या स्थितींसाठी एक प्रमुख जोखमीचा घटक आहे.
कोणाला 24 तास ABPM चाचणीची आवश्यकता असते?
- उच्च रक्तदाबाबद्दल चिंता असलेल्या व्यक्तींना
- रक्तदाबाच्या चढ-उतारांचे गूढ शोधण्यासाठी
- गर्भावस्थेदरम्यान उच्च रक्तदाब असलेल्या महिलांची देखरेख करण्यासाठी
- बॉर्डरलाइन हायपरटेन्शन तपासण्यासाठी
- औषधांनी नियंत्रणात न येणारा रक्तदाब (रिफ्रॅक्टरी हायपरटेन्शन) असलेल्या रुग्णांसाठी
- ABPM चाचणी कमी रक्तदाब (हायपोटेन्शन) किंवा अचानक बेशुद्ध होण्याच्या घटनांसाठीही उपयुक्त ठरू शकते.

होल्टर मॉनिटरींग
होल्टर मॉनिटर्स हे हृदयाच्या विविध समस्यांचे निदान आणि त्यांचे निरीक्षण करण्यासाठी अत्यंत महत्त्वाचे साधन आहे. हे अनियमित हृदयाच्या ठोक्यांमध्ये (ॲरिदमिया) झालेल्या बदलांचे निरीक्षण करण्यात, छातीत होणाऱ्या वेदनांचे मूल्यांकन करण्यामध्ये, आणि विशिष्ट हृदयाच्या औषधांचा प्रभाव तपासण्यात अत्यंत उपयोगी ठरतात. कौशल्यपूर्ण आरोग्यसेवा प्रदान करनारे तज्ञ या उपकरणाने नोंदवलेला डेटा काळजीपूर्वक विश्लेषित करून हृदयाच्या विद्युत कार्यातील अनियमितता शोधतात, ज्यामुळे हृदयाशी संबंधित समस्यांचे निदान व उपचार सुकर होतात.
होल्टर मॉनिटरिंग का वापरले जाते:
- हृदयातील अनियमितता शोधण्यासाठी.
- छातीत होणाऱ्या वेदनांचा शोध घेण्यासाठी : होल्टर मॉनिटर तुमच्या हृदयाचा जागरूक निरीक्षक म्हणून काम करतो आणि हृदयाची क्रिया नोंदवतो.
- औषधोपचारांचे मूल्यांकन करण्यासाठी.
- होल्टर मॉनिटरिंगमुळे डॉक्टरांना तुमच्या हृदयाच्या एकूण कार्याबद्दल महत्त्वपूर्ण माहिती मिळते.

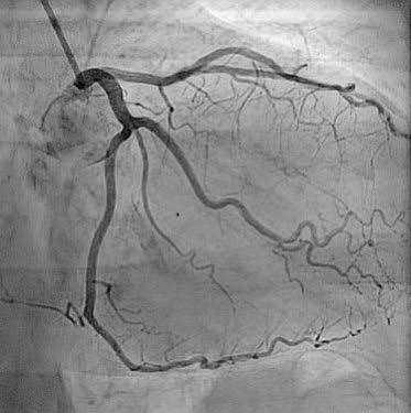
एंजिओग्राफी
एंजिओग्राफी ही एक वैद्यकीय इमेजिंग प्रक्रिया आहे ज्याद्वारे रक्तवाहिन्या आतून तपासल्या जातात. यामध्ये प्रामुख्याने धमनी आणि हृदयाच्या कक्षांची तपासणी केली जाते. या प्रक्रियेमध्ये रक्तवाहिन्यांमध्ये एक विशेष द्रव्य (कॉन्ट्रास्ट एजंट) इंजेक्ट करून, एक्स-रेच्या मदतीने चित्रण केले जाते.
एंजिओग्राफी का करतात?
- निदान: रक्तवाहिन्यांमध्ये अडथळे, अरुंद झालेल्या धमनी किंवा धमनीमध्ये मोठ्या प्रमाणात सूज (ॲन्युरिझम) आढळल्यास त्यांचे कारण समजण्यासाठी.
- डॉक्टरांना समस्येचे योग्य निदान करून सर्वोत्तम उपचार पद्धती ठरवण्यासाठी मदत करते.
- कार्डिओलॉजिस्टला रक्तवाहिन्यांमधून योग्यरित्या मार्गदर्शन करून संभाव्य धोक्यांपासून वाचवण्यासाठी मदत करते.
- तुमची स्थिती कशी प्रगती करत आहे आणि उपचार किती प्रभावी आहेत हे तपासण्यासाठी मदत होते.
- रक्तवाहिन्यांचे आजार समजून घेण्यासाठी आणि नवीन उपचारांची चाचणी घेण्यासाठी महत्त्वपूर्ण.

एंजिओप्लास्टी
एंजिओप्लास्टीचा उपयोग कोरोनरी धमनी रोगामुळे अडथळा आलेल्या हृदयाच्या रक्तवाहिन्या उघडण्यासाठी केला जातो. यामुळे ओपन-हार्ट सर्जरी न करता हृदयाला रक्तपुरवठा पुन्हा सुरू करता येतो. एंजिओप्लास्टी प्रामुख्याने गंभीर स्थितींमध्ये, जसे की हृदयविकाराच्या झटक्यावेळी केली जाते. एंजिओप्लास्टीला पर्क्युटेनियस कोरोनरी इंटरव्हेन्शन (PCI) असेही म्हणतात.
कधी एंजिओप्लास्टीची आवश्यकता असते?
- तुमच्या हृदयाच्या रक्तवाहिन्यांमध्ये अडथळे आढळले असतील
- तुम्ही औषधे घेतली किंवा जीवनशैलीत बदल केले, पण त्याचा तुमच्या हृदयाच्या आरोग्यावर फारसा परिणाम झालेला नाही
- तुम्हाला छातीत वेदना (अॅन्जिना) होत असतील
- तुम्हाला हृदयविकाराचा झटका आला असेल. एंजिओप्लास्टीने रक्तवाहिनी त्वरीत उघडता येते, ज्यामुळे हृदयाला होणारे नुकसान कमी होते.

पेसमेकर शस्त्रक्रिया
पेसमेकर हे एक उपकरण आहे, जे हृदयाच्या स्नायूंना लहान विद्युत प्रवाह पाठवून योग्य हृदयगती ठेवते किंवा हृदयाच्या खालच्या कक्षांना (व्हेंट्रिकल्स) उत्तेजित करते.
पेसमेकरची गरज का आहे?
- ब्रॅडी-ॲरिदमिया: हृदयाच्या विद्युत प्रणालीतील त्रुटींमुळे होणारा मंद हृदयगतीचा त्रास
- सिंकोप: बेशुद्ध होण्याचे प्रसंग
- हायपरट्रॉफिक कार्डिओमायोपॅथी: हृदयाच्या स्नायूंना प्रभावित करणारा एक गुंतागुंतीचा हृदयविकार
- टॅकी-ब्रॅडी सिंड्रोम: वेगवान आणि मंद हृदयगतीचे बदलते ठोके
- हार्ट ब्लॉक: असामान्य हृदय ठोके
- हृदय निकामी होणे (हार्ट फेल्युअर)
- कोरोनरी धमनी रोग
- हृदयविकाराचा झटका आल्याचा पूर्व इतिहास असते.

Gallery










