About Us
विजया हाॅस्पीटल
सर्वे सन्तु निरामयाः
आपले विजया ऑर्थोपेडिक्स हॉस्पिटल अकोला, आधुनिक तंत्रज्ञान व अनुभवी तज्ज्ञांच्या सहाय्याने अस्थिरोग व फ्रॅक्चरच्या उपचारासाठी समर्पित आहे. आम्ही रुग्णांना दर्जेदार व प्रभावी वैद्यकीय सेवा प्रदान करण्यास वचनबद्ध आहोत. आमच्याकडे अत्याधुनिक मॉड्युलर ऑपरेशन थिएटर, डिजिटल एक्स-रे यंत्रणा आणि पुनर्वसनासाठी फिजिओथेरपी सुविधा उपलब्ध आहेत.
हॉस्पिटलमध्ये कॉम्पलेक्स ट्रॉमा, पाठदुखी, संधीवात व सांधे दुखी यांसारख्या समस्यांवर विशेष उपचार केले जातात. आमचा बाह्यरुग्ण विभाग अद्ययावत असून प्रत्येक रुग्णावर वैयक्तिक लक्ष दिले जाते. इमर्जन्सी सेवा २४ तास उपलब्ध आहेत, जेणेकरून तातडीच्या प्रसंगी तत्काळ उपचार मिळू शकतील.
रुग्णसेवेचा मुख्य उद्देश म्हणजे रुग्णांना जलद बरे होण्यासाठी आणि त्यांचे जीवनमान उंचावण्यासाठी सर्वोत्तम वैद्यकीय उपाय उपलब्ध करून देणे. तुमच्या आरोग्याची जबाबदारी ही आमची प्राथमिकता आहे.
उपलब्ध सुविधा :
- फ्रॅक्चर व ॲक्सीडेंट उपचार
- पेलव्हीॲसीटॅब्युलर व कॉम्पलेक्स ट्रॉमा
- हॅन्ड व पुनर्रचनात्मक सुक्ष्मशस्त्रक्रिया
- सांधे प्रत्यारोपन शस्त्रक्रिया (ऑर्थोप्लास्टी)
- इलिझरोव्ह तंत्र
- पाठिच्या मणक्यावरील शस्त्रक्रिया
- दुर्बिणीद्वारे सांध्याची शस्त्रक्रिया (ऑथर्थोस्कोपी)
- लहान मुलांचे व्यंगनिवारण सुविधा
- सांधे, पाठदुखी व संधीवात यावर उपचार
- डिजीटल एक्सरे (डिजिटल रेडिओग्राफी)
- अत्याधुनिक मॉड्युलर ऑपरेशन थिएटर
- अत्याधुनिक बाह्यरुग्ण विभाग
- फिजीओथेरपी
तपासणी वेळ :
- सकाळी : 11 ते 3, सायंकाळी : 5 ते 9
- OPD रविवारी बंद राहिल. इमरजन्सी सेवा २४ तास उपलब्ध राहतील.
Products/Services
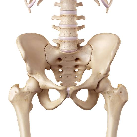
पेल्व्हीॲसीटॅबुलर ट्रॉमा
कटी किंवा ॲसीटॅबुलम (जिथे हिप सांधा असतो) यातील हाडांचे तुटणे हा ऑर्थोपेडिक सर्जनांद्वारे उपचार केला जाणारा एक गंभीर प्रकार आहे. हे प्रामुख्याने रोडवर होनारे अपघात, उंचावरून पडणे यासारख्या मोठ्या आघातामुळे होते. अशा फ्रॅक्चरवर त्वरित आणि अचूक उपचार आवश्यक असतात, आणि काही वेळा एक किंवा अधिक शस्त्रक्रिया करावी लागते. सर्व वयोगटांतील लोकांना हे दुखापत होण्याचा धोका असतो. तसेच, वृद्ध व्यक्तींमध्ये हाडांची ठिसूळता (ऑस्टिओपोरोसिस) असल्यास कमी प्रभावी आघातानेही पेल्व्हिक किंवा ॲसीटॅबुलम फ्रॅक्चर होऊ शकते.
फ्रॅक्चर झालेल्या कटी (पेल्व्हिस) चे स्वरूप:
कटी म्हणजे शरीराला आधार देणारी आणि अंतर्गत अवयवांचे संरक्षण करणारी हाडांची रिंग आहे. ती मोठ्या आघातामुळे कोणत्याही ठिकाणी फ्रॅक्चर होऊ शकते.
उपचाराचे उद्दिष्ट:
दुखापतीपूर्वीच्या कार्यक्षमतेत रुग्णाला पुन्हा आणणे हे उपचाराचे मुख्य उद्दिष्ट आहे. हाडे योग्य प्रकारे बसवून बरी होणे, सांध्यातील वाकडेपणा टाळणे आणि मोशन लॉस व आर्थ्रायटिस रोखणे महत्त्वाचे आहे.
1. शस्त्रक्रियेशिवाय उपचार:
स्थिर आणि विस्थापित न झालेल्या पेल्व्हिक फ्रॅक्चरच्या बाबतीत बंद पद्धतीने हाडे सरळ केली जातात. हे उपचार प्रामुख्याने शस्त्रक्रिया सहन करू न शकणाऱ्या रुग्णांसाठी निवडले जातात.
2. शस्त्रक्रियेद्वारे उपचार:
हाडे योग्य स्थितीत आणण्यासाठी उघड किंवा बंद पद्धतीने हाडे सरळ करणे (रिडक्शन) केले जाते. त्यानंतर स्क्रू, प्लेट्स किंवा बाह्य फ्रेमसारख्या उपकरणांच्या साहाय्याने हाडे स्थिर ठेवली जातात. हे उपचार हाडे स्थिर ठेवून आर्थ्रायटिससारख्यी गुंतागुंत टाळण्यासाठी महत्त्वाचे आहेत.

हाताची मायक्रोसर्जरी
हाताच्या शस्त्रक्रिया ही गेल्या अनेक दशकांपासून जगभरात एक सुपरस्पेशालिटी ट्रिटमेंट म्हणून उदयास आली आहे. हाताशी संबंधित आजारांवरील उपचारासाठी ऑर्थोपेडिक्स, प्लॅस्टिक सर्जरी, आणि व्हॅस्क्युलर सर्जरीसह विविध कौशल्यांचा वापर केला जातो. यामध्ये रुग्णाच्या हाताशी संबंधित समस्या, बोटे व हाताच्या फ्रॅक्चर किंवा क्रश इजा, हाताचे पक्षाघात (पॅरालिसिस) आणि मेंदूच्या इजेमुळे होणाऱ्या स्पॅस्टिक हातांच्या समस्या यांचा समावेश आहे. आमचे उद्दिष्ट हाताला एक अवयव म्हणून समग्र उपचार देण्याचे आहे.
हाताची मायक्रोसर्जरी विभागात केले जाणारे उपचार/शस्त्रक्रिया:
- मनगटाच्या इजांचे उपचार
- मनगटाची आर्थ्रोस्कोपी
- टेंडन दुरुस्ती/पुनर्निर्माण
- हातातील आर्थ्रायटिससाठी उपचार
- बालरुग्णांतील हाताशी संबंधित समस्या
- ब्रेशियल प्लेक्सस इजेसाठी उपचार
- स्पॅस्टिक हातांसाठी उपचार

दुर्बिणीद्वारे सांध्याची शस्त्रक्रिया (ऑथर्थोस्कोपी)
अर्थ्रोस्कोपी ही एक शस्त्रक्रिया आहे जी सांध्यांच्या समस्यांचे निदान आणि उपचार करण्यासाठी वापरली जाते. एका छोट्या छिद्राद्वारे सांध्यात एक लहान कॅमेरा (अर्थ्रोस्कोप) टाकला जातो, ज्यामुळे डॉक्टरांना सांध्याची स्थिती पाहता येते, निदान करता येते, आणि कधी-कधी खराब झालेले लिगामेंट्स आणि सांध्याच्या सूजेसारख्या स्थितींचे उपचार करता येतात, मोठ्या कापाशिवाय.

मणक्यासंबंधी आजार
पाठीच्या दुखापती ही जगभरातील बहुतेक लोकांना प्रभावित करणारी समस्या बनली आहे. पाठीच्या समस्यांवर उपचार करण्यासाठी, डॉक्टर पाठीच्या कोणत्याही संभाव्य संरचनात्मक विकृती सुधारण्यासाठी शस्त्रक्रिया करून पाठीच्या कण्यातील शस्त्रक्रिया करण्याची शिफारस करतात. हे शल्यचिकित्सकांना कशेरुकी संरचना संकुचित करण्यास, हलविण्यास आणि दुरुस्त करण्यास आणि आवश्यक असल्यास त्यांना पुनर्स्थित करण्यास अनुमती देते.
मिनिमली इनवेसिव्ह स्पाइन सर्जरीचे फायदे: कमी वेदनादायक प्रक्रिया, जलद पुनर्प्राप्ती, स्नायूंना होणारे नुकसान कमी होण्याचा धोका, गुंतागुंत होण्याचा धोका कमी etc.

इलिझाराेव्ह शस्त्रक्रिया
इलिझारोव तंत्रज्ञानाचा वापर शस्त्रक्रिया प्रक्रियेत बाह्य किंवा जटिल हाडांच्या फ्रॅक्चरचा उपचार करण्यासाठी, अंगाच्या हाडांना आकार देण्यासाठी किंवा लांब करण्यासाठी, तसेच इतर कोणत्याही तंत्राने उपचार न होणाऱ्या संक्रमित हाडांना जोडण्यासाठी केला जातो.
इलिझारोव उपचाराचे फायदे :
लवकर फिजिओथेरपीचा वापर करणे शक्य, ज्यामुळे सांध्यांच्या आकुंचन आणि कडकपणाच्या समस्या फारच कमी दिसुन येतात, रुग्णाच्या रुग्णालयातील मुक्कामाचीही गरज कमी होते.
ऑपरेशनमध्ये, त्वचेवर कोणतीही चीर दिली जात नाही. त्यामुळे ऊतकांच्या दुखापती, संसर्ग आणि रक्तस्रावाच्या घटना खूपच कमी असतात.
संपूर्ण प्रक्रिया ही मिनिमली इनवेसिव्ह असते, कारण यामध्ये कमी ऊतकांची हानी होते आणि हाडांना कडे (रिंग्ज) जोडण्यासाठी वायरचा वापर केला जातो.
गोलाकार आकाराचा फिक्सेटर एकाच वेळी तीन परिमाणांमध्ये विकृती सुधारतो.

गुडघा प्रत्यारोपण शस्त्रक्रिया
गुडघा प्रत्यारोपण ही शस्त्रक्रियाची प्रक्रिया आहे ज्यामध्ये खराब झालेले गुडघा मेटल किंवा प्लास्टिक इम्प्लांटने गुडघ्याच्या सांध्याद्वारे बदलला जातो. याला (गुडघा आर्थ्रोप्लास्टी) असेही म्हणतात. गुडघा प्रत्यारोपण शस्त्रक्रिया दुखापत किंवा संधिवात वेदना कमी करण्यासाठी आणि कडकपणा कमी करण्यासाठी वापरली जाते. गुडघा प्रत्यारोपण आणि पुनर्प्राप्तीनंतर, आपण दैनंदिन काम करू शकता.

बोन फ्रॅक्चर
हाडांच्या फ्रॅक्चरचे अनेक प्रकारे वर्गीकरण केले जाते. साध्या फ्रॅक्चरमध्ये हाडातून एकच फ्रॅक्चर रेषा समाविष्ट असते. कम्युनिटेड फ्रॅक्चर म्हणजे ज्यामध्ये हाड दोन किंवा अधिक तुकड्यांमध्ये फ्रॅक्चर झाले आहे. ओपन फ्रॅक्चर म्हणजे ज्यामध्ये फ्रॅक्चर झालेले हाड त्वचेत शिरते.

संधिवातावर उपाय
शरीरातील एकापेक्षा जास्त सांध्यांना सूज येणं किंवा तीव्र वेदाना होणं याला 'आर्थरायटीस' किंवा संधिवात म्हणतात. हा प्रामुख्याने वृद्धांना होणारा आजार आहे. वाढत्या वयासोबत हळूहळू वाढत जाणारा आजार मानला जातो. असं असलं तरी लहान मुलं आणि युवकांनाही हा आजार होण्याची नाकारता येत नाही.
लक्षण : सांधेदुखी, सांध्यांमध्ये जाणवणारी ताठरता (stiffness), सूज, सांध्यांजवळचा भाग लाल होणं, चालण्या-फिरण्यात किंवा हालचाल करण्यात येणारा अडथळा etc.

ऑस्टियोपोरोसिस
ऑस्टियोपोरोसिस ही एक अशी स्थिती आहे जी हाडे खराब करते, ज्यामुळे हाडांच्या ऊतींचे नुकसान आणि हाडांचे वस्तुमान कमी झाल्यामुळे ते ठिसूळ होतात. परिणामी, व्यक्ती फ्रॅक्चरसाठी अत्यंत संवेदनशील बनते. अशा फ्रॅक्चरला फ्रॅजिलिटी फ्रॅक्चर असे म्हणतात.
कारणे : कमी शिखर हाड वस्तुमान, पुरुष आणि स्त्रियांमध्ये टेस्टोस्टेरॉन आणि इस्ट्रोजेनची कमी पातळी, असंतुलित हार्मोन्स, हायपरथायरॉईडीझम आणि इतर थायरॉईड समस्या, मूत्रपिंडाचे रोग, कमी कॅल्शियम आहार, व्हिटॅमिन डी ची कमतरता etc.

हाताची शस्त्रक्रिया
हाताची शस्त्रक्रिया ही वैद्यकशास्त्राची एक विशेष शाखा आहे जी आपल्या हातांची हाडे, कंडरा, नसा, स्नायू आणि सांधे यांच्याशी संबंधित समस्यांचे निराकरण करण्यावर लक्ष केंद्रित करते. खेळाच्या दुखापतीमुळे तुटलेले हाड असो किंवा कार्पल टनल सिंड्रोम ज्यामुळे बधीरपणा आणि वेदना होतात, हाताची शस्त्रक्रिया मदतीसाठी आहे.
विविध समस्या दूर करण्यासाठी हाताच्या शस्त्रक्रिया केल्या जाऊ शकतात जसे की : तुटलेली हाडे जोडण्यासाठी, टेंडन आणि लिगामेंटच्या दुखापती, सिस्ट आणि ट्यूमर, मज्जातंतू संकुचित होणे, संधिवात, जन्मजात विकृती, हाताचे संक्रमण etc.

टोटल हिप रिप्लेसमेंट
हिप रिप्लेसमेंट सर्जरी ही एक प्रक्रिया आहे ज्यामध्ये डॉक्टर शस्त्रक्रियेने संधिवात असलेल्या वेदनादायक हिप जॉइंट काढून टाकतात आणि त्याच्या जागी अनेकदा धातू आणि प्लास्टिकच्या घटकांपासून बनवलेले कृत्रिम सांधे लावतात. हे सहसा केले जाते जेव्हा इतर सर्व उपचार पर्याय पुरेसे वेदना आराम प्रदान करण्यात अयशस्वी ठरतात.

आर्थ्रोप्लास्टी
आर्थ्रोप्लास्टी ही शरीराच्या सांध्यांवर केली जाणारी एक विशिष्ट प्रकारची शस्त्रक्रिया आहे. या शस्त्रक्रियेचा उद्देश सांधे त्यांच्या सामान्य कार्यात पुनर्संचयित करण्यात मदत करणे आहे. सांध्यासाठी इतर सर्व उपचार अयशस्वी झाल्यास आर्थ्रोप्लास्टीची शिफारस केली जाते. या उपचारांमध्ये वजन कमी करणे आणि सांधेदुखीपासून मुक्त होण्यासाठी विशिष्ट प्रकारची औषधे समाविष्ट असू शकतात. आर्थ्रोप्लास्टीमध्ये, काढलेले सांधे बदलण्यासाठी कृत्रिम अवयव बसवले जातात.

फिजिओथेरपी
फिजिओथेरपी सेंटर ही एक अशी सुविधा आहे जिथे प्रशिक्षित फिजिओथेरपिस्ट शारीरिक हालचाल सुधारण्यासाठी, वेदना व्यवस्थापित करण्यासाठी आणि व्यायाम, मॅन्युअल थेरपीद्वारे जीवनाची एकूण गुणवत्ता सुधारण्यासाठी उपचार प्रदान करतात.
- Neck Pain
- Back Pain
- Knee Pain
- Shoulder Pain
- Heel Pain
- Wrist Pain
- Miagran / Headacte
- Exercise Therapy
- Nerve Injuries
- Sport Injuries

डिजिटल रेडिओग्राफी
डिजिटल रेडिओग्राफी हे वैद्यकीय इमेजिंग तंत्र आहे जे क्ष-किरण प्रतिमा कॅप्चर करण्यासाठी डिजिटल सेन्सर वापरते, कार्यक्षम प्रतिमा प्रक्रिया, कमी रेडिएशन एक्सपोजर आणि निदानासाठी तत्काळ प्रतिमा उपलब्ध करून देते.

Gallery
































