About Us
श्रीकृष्णा हॉस्पिटल
SERVICE FOR HUMANITY
ऑर्थोपेडीक, जॉईंट रिप्लेसमेंट सेंटर व प्रसुतीगृह
डॉ. सुनिल राठोड
- M.B.B.S., M.S., (Ortho)
- Fellowship in Joint Replacement
- Member of AO Trauma & AO Spine
- ऑर्थोपेडीक, पॉलिट्रामा, जॉईंट रिप्लेसमेंट व स्पाईन सर्जन
- Reg. No.: 2004/03/1382
डॉ. सौ. लिना राठोड
- M.B.B.S., D.G.O.
- Laprascopic & Infertility Consultant
- स्त्रीरोग व प्रसूतीशास्त्र व वंध्यत्व निवारण विशेषज्ञ
- Regd.No.2008/01/0004
हॉस्पीटलची वैशिष्टये :
- एपॉक्सी अँटीबॅक्टेरिअल कोटेड ओटी फ्लोअर
- कॉम्प्युटराइज्ड 1kx1kBPLC-आर्म मशीन
- रिमोटेड ओटी टेबल
- अल्ट्रा हाय फ्रिक्वेंसी एक्स-रे मशीन
- बॅटरी ऑपरेटेड ड्रिल मशीन
- स्पेशल रूम्स (सिंगल, डबल) लिफ्ट व रॅम्यची सुविधा फायर सेफ्टी उपकरणे ए.सी. उपलब्ध
- एलईडी ओटी लाईटस्
- आधुनिक बिपीएल मॉनिटर्स
- BPL ॲनेस्थेशिया वर्कस्टेशन
- कोनिका मिनोल्ट्रा वायरी एक्सरे डीआर सिस्टम
- फिजिओथेरपी युनिट
ऑर्थोपेडिक्स उपलब्ध सुविधा :
- पॉलिट्रॉमा केअर, अवघड फॅक्चरांवर शस्त्रक्रिया
- सांधे बदलाची शस्त्रक्रिया
- स्पाईन फॅक्चर व स्पाईन सर्जरी, मणक्यातील इंजेक्शन व्दारे उपचार
- फ्रैक्चर व ॲक्सिडेन्ट रूग्णावर तातडीने उपचार व शस्त्रक्रिया
- कॉम्प्युटराईज्ड सि-आर्मच्या सहाय्याने आधुनिक शस्त्रक्रिया
- मनक्याच्या विविध आजारांचे निदान व उपचार (स्पाँडीलायटीस, मानदुखी, पाठदुखी व कंबरदुखी)
- प्लास्टीक सर्जरी व हँड सर्जरी
- ऑथोस्कोपी शस्त्रक्रिया (दुर्बीणव्दारे)
- जन्मजात वाकडे पाय व जोडलेले बोटे यांवर प्लास्टर व शस्त्रक्रिया
- टाचेचे दुखणे व कोपराचे दुखणे यावर उपचार.
स्त्रीरोग उपलब्ध सुविधा :
- नॉर्मल डिलेवरी व वेदनारहित डिलेवरी
- सुसज्ज प्रसूतीगृह
- सिजरियन शस्त्रक्रिया
- शासनमान्य गर्भपात केंद्र गर्भाशयाचे व कुटूंब नियोजनाची शस्त्रक्रिया
- गर्भाशयाचे कॅन्सर, निदान व उपचार
- लॅप्रोस्कोपीक शस्त्रक्रिया (दुर्बिणव्दारे गर्भाशयाची व कुटुंबनियोजनाची शस्त्रक्रिया)
- स्त्रियांच्या सर्व आजारांचे निदान व उपचार
- वंध्यत्वनिवारण निदान व उपचार.
ओपीडी तपासणी वेळ :
- सकाळी १० ते दु. २ वाजेपर्यंत.
- सायंकाळी ७ ते ८ डॉक्टरांच्या उपलब्धतेनुसार (रविवारी बंद)
- 9011238786 (अस्थिरोग रुग्णांकरीता)
- 8180998770 (स्त्रिरोग व प्रसुती रूग्णांकरीता)
- रविवारी फ्क्त इमर्जन्सी व फॅक्चरचे रुग्ण तपासणी सुरू राहील.
Products/Services
सांध्याची शस्त्रक्रिया
संपूर्ण सांधेबद्दल शस्त्रक्रिया ही मुख्यतः उखळीचा सांधा (THR) व गुडघ्याचा सांधा (TKR) खराब झाल्यास त्यात कृत्रिम सांधेरोपण करून नविन सांधा बसवुन केली जाते.
वाढत्या क्यानुसार होणारी सांध्यांची झिज, सांध्यांना लागलेला मार अथवा संधिवात, स्टेरॉईडचा अतिवापर व इतर अनेक प्रकारच्या कारणांमुळे उखळीचा सांधा किंवा गुडघ्याचा सांधा खराब होऊ लागतो, या आजाराला ऑस्टीओआथ्रायटीस म्हणतात व उखळीच्या सांध्याचा रक्तपुरवठा कमी झाल्यास त्याला AVN म्हणतात. अशा रूग्णांना जेव्हा औषधोपचार व दैनंदिन जीवनशैलीत बदल करून सुध्दा असह्य त्रास राहतो, त्यावेळी संपूर्ण सांधे बदल
शस्त्रक्रिया या रुग्णांसाठी वरदान ठरते व त्यांचे जीवन सुसह्य करते. संपूर्ण सांधेबद्दल शस्त्रक्रियेनंतर अशा रुग्णांचा त्रास संपूर्णतः अथवा मोठ्या प्रमाणावर कमी होऊन जातो व त्यांना दैनंदिन जीवनशैली स्वावलंबनाने पार पाडता येते.
आपणांस अशा प्रकारचा आजार असल्यास आपण आपलया डॉक्टरांकडुन संपुर्ण सांधेबदल शस्त्रक्रियेची सविस्तर माहिती घ्यावी.

जन्मजात वाकडे पाय व जोडलेले बोटे यांवर प्लास्टर व शस्त्रक्रिया
जन्मजात वाकडे पाय आणि जोडलेली बोटे यावर उपचारात प्लास्टर आणि शस्त्रक्रिया या दोन्हीचा उपयोग होतो. वाकडे पाय सरळकरण्यासाठी / सुधारण्यासाठी सुरुवातीला प्लास्टरचा वापर करून हाडांना योग्य आकार देण्याचा प्रयत्न केला जातो. आवश्यकतेनुसार शस्त्रक्रिया करून हाडे व सांधे व्यवस्थित केले जातात. जोडलेली बोटे वेगळी करण्यासाठी शस्त्रक्रिया केली जाते, ज्यामुळे हात किंवा पायाची नैसर्गिक हालचाल शक्य होते.

* ऑथोस्कोपी (दुर्बीणव्दारे) शस्त्रक्रिया
अर्थ्रोस्कोपी ही एक शस्त्रक्रिया आहे जी सांध्यांच्या समस्यांचे निदान आणि उपचार करण्यासाठी वापरली जाते. एका छोट्या छिद्राद्वारे सांध्यात एक लहान कॅमेरा (अर्थ्रोस्कोप) टाकला जातो, ज्यामुळे डॉक्टरांना सांध्याची स्थिती पाहता येते, निदान करता येते, आणि कधी-कधी खराब झालेले लिगामेंट्स आणि सांध्याच्या सूजेसारख्या स्थितींचे उपचार करता येतात, मोठ्या कापाशिवाय.

इलिझाराेव्ह शस्त्रक्रिया
इलिझारोव तंत्रज्ञानाचा वापर शस्त्रक्रिया प्रक्रियेत बाह्य किंवा जटिल हाडांच्या फ्रॅक्चरचा उपचार करण्यासाठी, अंगाच्या हाडांना आकार देण्यासाठी किंवा लांब करण्यासाठी, तसेच इतर कोणत्याही तंत्राने उपचार न होणाऱ्या संक्रमित हाडांना जोडण्यासाठी केला जातो.
इलिझारोव उपचाराचे फायदे :
लवकर फिजिओथेरपीचा वापर करणे शक्य, ज्यामुळे सांध्यांच्या आकुंचन आणि कडकपणाच्या समस्या फारच कमी दिसुन येतात, रुग्णाच्या रुग्णालयातील मुक्कामाचीही गरज कमी होते.
ऑपरेशनमध्ये, त्वचेवर कोणतीही चीर दिली जात नाही. त्यामुळे ऊतकांच्या दुखापती, संसर्ग आणि रक्तस्रावाच्या घटना खूपच कमी असतात.
संपूर्ण प्रक्रिया ही मिनिमली इनवेसिव्ह असते, कारण यामध्ये कमी ऊतकांची हानी होते आणि हाडांना कडे (रिंग्ज) जोडण्यासाठी वायरचा वापर केला जातो.
गोलाकार आकाराचा फिक्सेटर एकाच वेळी तीन परिमाणांमध्ये विकृती सुधारतो.

मणक्यासंबंधी आजार
पाठीच्या दुखापती ही जगभरातील बहुतेक लोकांना प्रभावित करणारी समस्या बनली आहे. पाठीच्या समस्यांवर उपचार करण्यासाठी, डॉक्टर पाठीच्या कोणत्याही संभाव्य संरचनात्मक विकृती सुधारण्यासाठी शस्त्रक्रिया करून पाठीच्या कण्यातील शस्त्रक्रिया करण्याची शिफारस करतात. हे शल्यचिकित्सकांना कशेरुकी संरचना संकुचित करण्यास, हलविण्यास आणि दुरुस्त करण्यास आणि आवश्यक असल्यास त्यांना पुनर्स्थित करण्यास अनुमती देते.
मिनिमली इनवेसिव्ह स्पाइन सर्जरीचे फायदे: कमी वेदनादायक प्रक्रिया, जलद पुनर्प्राप्ती, स्नायूंना होणारे नुकसान कमी होण्याचा धोका, गुंतागुंत होण्याचा धोका कमी etc.

गुडघा प्रत्यारोपण शस्त्रक्रिया
गुडघा प्रत्यारोपण ही शस्त्रक्रियाची प्रक्रिया आहे ज्यामध्ये खराब झालेले गुडघा मेटल किंवा प्लास्टिक इम्प्लांटने गुडघ्याच्या सांध्याद्वारे बदलला जातो. याला (गुडघा आर्थ्रोप्लास्टी) असेही म्हणतात. गुडघा प्रत्यारोपण शस्त्रक्रिया दुखापत किंवा संधिवात वेदना कमी करण्यासाठी आणि कडकपणा कमी करण्यासाठी वापरली जाते. गुडघा प्रत्यारोपण आणि पुनर्प्राप्तीनंतर, आपण दैनंदिन काम करू शकता.

आर्थ्रोप्लास्टी
आर्थ्रोप्लास्टी ही शरीराच्या सांध्यांवर केली जाणारी एक विशिष्ट प्रकारची शस्त्रक्रिया आहे. या शस्त्रक्रियेचा उद्देश सांधे त्यांच्या सामान्य कार्यात पुनर्संचयित करण्यात मदत करणे आहे. सांध्यासाठी इतर सर्व उपचार अयशस्वी झाल्यास आर्थ्रोप्लास्टीची शिफारस केली जाते. या उपचारांमध्ये वजन कमी करणे आणि सांधेदुखीपासून मुक्त होण्यासाठी विशिष्ट प्रकारची औषधे समाविष्ट असू शकतात. आर्थ्रोप्लास्टीमध्ये, काढलेले सांधे बदलण्यासाठी कृत्रिम अवयव बसवले जातात.

टोटल हिप रिप्लेसमेंट
हिप रिप्लेसमेंट सर्जरी ही एक प्रक्रिया आहे ज्यामध्ये डॉक्टर शस्त्रक्रियेने संधिवात असलेल्या वेदनादायक हिप जॉइंट काढून टाकतात आणि त्याच्या जागी अनेकदा धातू आणि प्लास्टिकच्या घटकांपासून बनवलेले कृत्रिम सांधे लावतात. हे सहसा केले जाते जेव्हा इतर सर्व उपचार पर्याय पुरेसे वेदना आराम प्रदान करण्यात अयशस्वी ठरतात.

संधिवातावर उपाय
शरीरातील एकापेक्षा जास्त सांध्यांना सूज येणं किंवा तीव्र वेदाना होणं याला 'आर्थरायटीस' किंवा संधिवात म्हणतात. हा प्रामुख्याने वृद्धांना होणारा आजार आहे. वाढत्या वयासोबत हळूहळू वाढत जाणारा आजार मानला जातो. असं असलं तरी लहान मुलं आणि युवकांनाही हा आजार होण्याची नाकारता येत नाही.
लक्षण: सांधेदुखी, सांध्यांमध्ये जाणवणारी ताठरता (stiffness), सूज, सांध्यांजवळचा भाग लाल होणं, चालण्या-फिरण्यात किंवा हालचाल करण्यात येणारा अडथळा etc.

हाताची शस्त्रक्रिया
हाताची शस्त्रक्रिया ही वैद्यकशास्त्राची एक विशेष शाखा आहे जी आपल्या हातांची हाडे, कंडरा, नसा, स्नायू आणि सांधे यांच्याशी संबंधित समस्यांचे निराकरण करण्यावर लक्ष केंद्रित करते. खेळाच्या दुखापतीमुळे तुटलेले हाड असो किंवा कार्पल टनल सिंड्रोम ज्यामुळे बधीरपणा आणि वेदना होतात, हाताची शस्त्रक्रिया मदतीसाठी आहे.
विविध समस्या दूर करण्यासाठी हाताच्या शस्त्रक्रिया केल्या जाऊ शकतात जसे की : तुटलेली हाडे जोडण्यासाठी, टेंडन आणि लिगामेंटच्या दुखापती, सिस्ट आणि ट्यूमर, मज्जातंतू संकुचित होणे, संधिवात, जन्मजात विकृती, हाताचे संक्रमण etc.

ऑस्टियोपोरोसिस
ऑस्टियोपोरोसिस ही एक अशी स्थिती आहे जी हाडे खराब करते, ज्यामुळे हाडांच्या ऊतींचे नुकसान आणि हाडांचे वस्तुमान कमी झाल्यामुळे ते ठिसूळ होतात. परिणामी, व्यक्ती फ्रॅक्चरसाठी अत्यंत संवेदनशील बनते. अशा फ्रॅक्चरला फ्रॅजिलिटी फ्रॅक्चर असे म्हणतात.
कारणे : कमी शिखर हाड वस्तुमान, पुरुष आणि स्त्रियांमध्ये टेस्टोस्टेरॉन आणि इस्ट्रोजेनची कमी पातळी, असंतुलित हार्मोन्स, हायपरथायरॉईडीझम आणि इतर थायरॉईड समस्या, मूत्रपिंडाचे रोग, कमी कॅल्शियम आहार, व्हिटॅमिन डी ची कमतरता etc.

फिजिओथेरपी
फिजिओथेरपी सेंटर ही एक अशी सुविधा आहे जिथे प्रशिक्षित फिजिओथेरपिस्ट शारीरिक हालचाल सुधारण्यासाठी, वेदना व्यवस्थापित करण्यासाठी आणि व्यायाम, मॅन्युअल थेरपी आणि शिक्षणाद्वारे जीवनाची एकूण गुणवत्ता सुधारण्यासाठी उपचार प्रदान करतात.

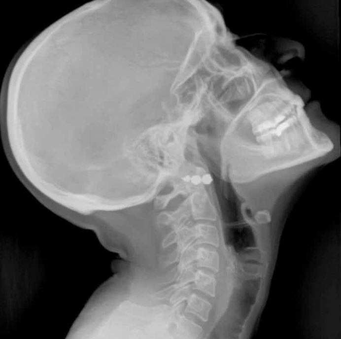
डिजिटल रेडिओग्राफी
डिजिटल रेडिओग्राफी हे वैद्यकीय इमेजिंग तंत्र आहे जे क्ष-किरण प्रतिमा कॅप्चर करण्यासाठी डिजिटल सेन्सर वापरते, कार्यक्षम प्रतिमा प्रक्रिया, कमी रेडिएशन एक्सपोजर आणि निदानासाठी तत्काळ प्रतिमा उपलब्ध करून देते.

अल्ट्रासोनोग्राफी
अल्ट्रासाऊंड किंवा अल्ट्रासोनोग्राफी ही उच्च-फ्रिक्वेन्सी ध्वनीलहरींचा वापर करून शरीराच्या अंतर्गत संरचनांचे प्रतिमा तयार करते. हे एक नॉन-इनव्हेसिव्ह, विकिरणमुक्त तंत्र आहे आणि अवयवांचे निरीक्षण, गर्भाच्या स्थितीचे परीक्षण आणि विविध आजारांचे निदान करण्यासाठी मोठ्या प्रमाणावर वापरले जाते. याचे फायदे म्हणजे प्रत्यक्ष वेळेत प्रतिमा मिळवणे, सुरक्षितता आणि वैद्यकीय क्षेत्रातील विविध गरजांसाठी त्याचा उपयोग. यामुळे अचूक निदान व उपचाराचे नियोजन करण्यात मदत होते.

प्रसुतीपूर्व तपासणी (ANC)
एएनसी तपासणी म्हणजे प्रसवपूर्व तज्ज्ञांकडून योग्य मार्गदर्शन, ज्यामध्ये गर्भधारणेदरम्यान काही वैद्यकीय तपासण्या केल्या जातात. या सल्लामसलतीमुळे आई आणि वाढणाऱ्या बाळाच्या आरोग्याची नियमित देखरेख होते आणि संभाव्य समस्यांचे लवकर निदान करता येते. एएनसीमध्ये विविध तपासण्या, पोषणाविषयी सल्ला आणि निरोगी गर्भधारणेसाठी मार्गदर्शन समाविष्ट असते, ज्यामुळे सुखद प्रसूती अनुभवास प्रोत्साहन दिले जाते.

प्रसुतीपूर्व लसीकरण
प्रसुतीपूर्व लसीकरण म्हणजे गर्भधारणेदरम्यान आई आणि बाळाच्या संरक्षणासाठी दिल्या जाणाऱ्या लसी. या लसीकरणामुळे टेटनस, इन्फ्लूएंझा, आणि पर्टुसिस सारख्या आजारांपासून बचाव होतो, गर्भधारणेदरम्यान गुंतागुंत होण्याचा धोका कमी होतो आणि बाळाला जन्मानंतर पासिव्ह प्रतिकारशक्ती मिळते. एएनसी लसीकरण आई आणि बाळाच्या एकूणच आरोग्य आणि कल्याणात महत्त्वपूर्ण योगदान देते.

स्त्री वंध्यत्व
गर्भधारणा होण्यास असमर्थ असणे म्हणजे वंध्यत्व. गर्भधारण करण्यासाठी स्त्री आणि पुरुष या दोहोंची समान भुमिका असते. वंध्यत्वाची 30% कारणे ही पुरुषासंबंधी असतात. तर 30% कारणे ही स्त्रीसंबंधी असतात. आणि उरलेली 40% कारणे ही दोहोसंबंधी असतात.
स्त्रियांमधील वंध्यत्वाची कारणे :
स्त्री-प्रजनन अवयवांतील दोष,
PCOS ची समस्या असणे,
हार्मोन्समधील असंतुलन,
pelvic inflammatory disease (PID) मुळे,
एंडोमेट्रिओसिस, गर्भाशयातील गाठी (युटेरिन फायब्रॉइड्स) यासारख्या आजारांमुळे,
स्त्रीचे वय अधिक असणे,
स्त्रीचे वजन जास्त असणे, लठ्ठपणा,
हायपोथायरॉडिजमची समस्या,
सिगारेट स्मोकिंग व अल्कोहोलचे व्यसन,
मानसिक तणाव,
कुपोषण किंवा शारीरिक दुर्बलता,
लैंगिक आजार,
किमोथेरपी किंवा रेडिएशन थेरपीचे दुष्परिणाम,
वेदनाशामक औषधे, मानसिक आजारावरील औषधांचा अतिवापर,
गर्भनिरोधक गोळ्या औषधांचा चुकीचा वापर, यासारख्या कारणांमुळे स्त्रियांमध्ये वंध्यत्वाची समस्या निर्माण होत असते.

गर्भाशय मुखाचा कर्करोग
सर्वायकल कँसर हा स्त्रियांमधील सर्विक्स (Cervix) ह्या अवयवात होणारा कँसर आहे. सर्विक्स म्हणजे गर्भपिशवी आणि योनीला जोडणारा अवयव. तर आशा ह्या सर्विक्सच्या पेशींमध्ये होणारा कर्करोग म्हणजे गर्भाशय मुखाचा कर्करोग होय. इतर कँसरप्रमाणेच सुरूवातीला या कॅन्सरची काहीच लक्षणे दिसत नाहीत. स्त्रियांमध्ये गर्भाशयमुखाच्या कॅन्सरनी मृत्यू होण्याचे प्रमाण हे इतर कर्करोगापेक्षा जास्त आहे.
गर्भाशय मुखाचा कर्करोग होण्याची कारणे:
एचपीव्ही (पॅपिल्लोमा व्हायरस) बाधित स्त्रियांमध्ये गर्भाशय मुखाच्या कर्करोगाचा धोका अधिकच वाढतो.
हॉर्मोन्सच्या असंतुलनामुळे
अति स्थुलता – लठ्ठपणा हे एक गर्भाशय मुखाच्या कॅन्सरचे प्रमुख कारण ठरते
उशीरा रजोनिवृत्ती (मेनोपॉज) झाल्याने
अनुवंशिकता

प्रसव (सामान्य व सिझेरियन)
सामान्य प्रसव हा नैसर्गिक पद्धतीने होणारा प्रसव आहे, जो सहसा कमी गुंतागुंतीचा असतो आणि त्यातून लवकर बरे होता येते. एलएससीएस (लोअर सेगमेंट सिझेरियन सेक्शन) ही शस्त्रक्रियात्मक पद्धत आहे ज्यामध्ये आईच्या पोटावर छेद करून बाळ बाहेर काढले जाते. सामान्य प्रसव नैसर्गिक अनुभव देतो, तर एलएससीएस वैद्यकीय कारणांमुळे किंवा गुंतागुंतीमुळे निवडले जाते, ज्यामुळे सुरक्षित प्रसव सुनिश्चित होतो.

लॅप्रोस्कोपिक गाइनाॅक शस्त्रक्रिया
लॅप्रोस्कोपिक गाइनाकोलॉजिकल शस्त्रक्रिया म्हणजे लहान छिद्रे आणि कॅमेऱ्याचा वापर करून केलेली कमीत-कमी वेदनेत होनारी शस्त्रक्रिया, जी स्त्रीरोगाशी संबंधित समस्या निदान आणि उपचार करण्यासाठी वापरली जाते. याचे फायदे म्हणजे पारंपरिक शस्त्रक्रियांच्या तुलनेत कमी वेदना, जलद बरे होणे, आणि गुंतागुंतीचा कमी धोका. त्यामुळे रुग्णांना सामान्य जीवनशैलीत लवकर परतण्यास मदत होते आणि एकूणच सुधारित परिणाम मिळतात.

कुटुंब कल्याण शस्त्रक्रिया
गर्भनिरोधक सल्लामसलतीत व्यक्तींना जन्मनियमनाच्या पद्धतींविषयी माहिती आणि मार्गदर्शन दिले जाते, ज्यामुळे ते सुज्ञ निर्णय घेऊ शकतात. कुटुंब नियोजन शस्त्रक्रियांमध्ये ट्यूबल लिगेशन किंवा नसबंदी सारख्या शस्त्रक्रिया समाविष्ट आहेत, ज्याद्वारे प्रजनन नियंत्रित करता येते. हे दोन्ही नियोजित गर्भधारणेस प्रोत्साहन देतात आणि शस्त्रक्रियात्मक हस्तक्षेपांच्या माध्यमातून व्यक्तींना त्यांच्या प्रजनन आरोग्याचे प्रभावी व्यवस्थापन करण्यास सक्षम करतात.

Gallery












